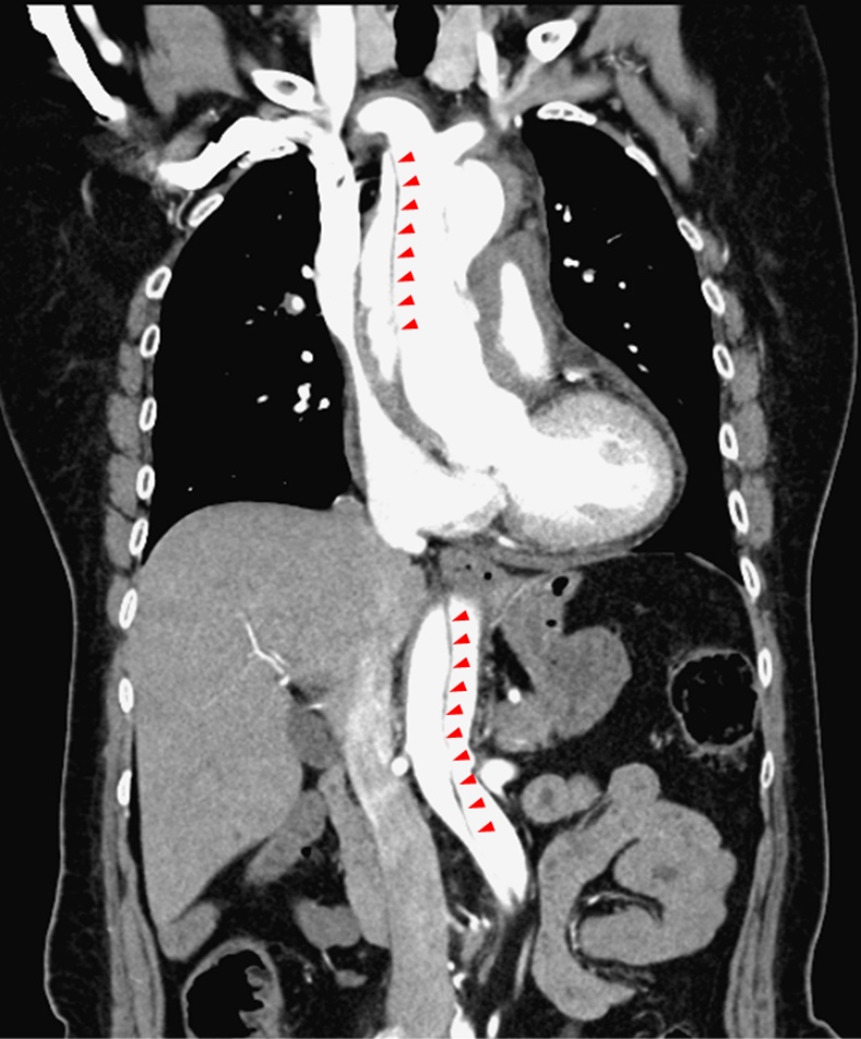
主動脈剝離是一種罕見但致死率極高的心血管急症,最典型症狀是胸口突然出現撕裂般的劇痛,且可能延伸至後背,隨著血液輸送受阻,全身其他器官都可能出現症狀。
新冠肺炎疫苗開打以來,傳出數起接種後因主動脈剝離而猝死的個案,引發民眾關注。據媒體報導,醫界認為主動脈剝離和疫苗接種在學理上並無關聯性,只是有時序相關。到底主動脈剝離為什麼如此致命?有方法可預防嗎?
主動脈剝離為什麼如此致命?
台北市立聯合醫院陽明院區心臟血管內科主治醫師李穎灝指出,主動脈是身體最大的動脈,心臟打出血液後,透過主動脈將血液輸送全身各處。主動脈有三層結構,當血管壁經長年血流沖刷及慢性病摧殘後,內層可能形成裂縫,血液流入內層與中層之間,形成「假腔」,擠壓到「真腔」(正常的血流途徑),導致血液供應受阻。
主動脈剝離依發病位置,分為A、B型
狀如拐杖的主動脈,上行部分稱為升主動脈,轉彎部分是主動脈弓,下行部分則為降主動脈。剝離位置影響到升主動脈的屬於A型,未影響升主動脈的則為B型。A型容易產心臟相關的併發症,死亡率較B型高,若未緊急手術,發病48小時內致死率可高達50%。
主動脈剝離症狀可能以劇烈胸痛、下背痛表現
典型的主動脈剝離症狀,在血管裂開時,會產生像刀割、肌肉撕裂般的劇痛,疼痛的表現往往是發作就達到最高,甚至是一輩子都沒有過的劇痛;心肌梗塞一般則是像重物壓迫的悶痛,且可能有下巴或左肩的轉移痛。主動脈剝離發生在升主動脈,通常以胸痛表現,若在降主動脈則會表現下背痛。李穎灝表示,這些疼痛症狀和打疫苗產生的全身痠痛大不相同,但如果剛好發生在打疫苗後,病人可能難以分辨,誤以為是打疫苗所引發。
主動脈剝離也可能因血流受阻影響其他器官
除了劇痛外,主動脈剝離也可能因血流受阻影響其他器官。在心臟,可能出現心包膜填塞、心肌梗塞;在腦部,可能導致意識不清、中風等;在腸道,可能導致腸缺血,造成腹痛;甚至可能影響到下肢,腳也會痛。因此,主動脈剝離有「偉大的模仿者」之稱,可能以各種症狀來表現。
主動脈剝離年發生率每10萬人約有3人,小心這些危險因子影響血管健康
據研究,主動脈剝離發生率每年每10萬人約有3人,以台灣人口估算,一年約600多人發生主動脈剝離,並不常見,以50歲至70歲最易發生。危險因子主要是各種導致血管脆弱的疾病,包含三高(高血壓、高血脂、高血糖)控制不佳,以及有抽菸習慣等。另外,有遺傳性結締組織疾病(如馬凡氏症候群),或是藥物濫用(如古柯鹼),也可能影響血管健康。
預防之道就是要遠離危險因子,保持血管健康
主動脈剝離病人約七成有高血壓,民眾平時需控制好三高及慢性病,若有遺傳性疾病,更要提高警覺。平日養成運動習慣,生活規律,已有高血壓的人,可從事有氧運動、球類運動,如需做重量訓練(如舉重),建議諮詢醫生或專業教練。
李穎灝認為,很多因素都會影響血管健康,目前尚無打疫苗會提高主動脈剝離風險的文獻報導,建議民眾仍應施打疫苗。至於主動脈剝離的高風險族群,不論是否施打疫苗,如出現突發性胸口劇痛,應盡速至急診就醫,以避免延誤。

(本文由台北市立聯合醫院提供)

