天冷頭暈不適無力,以為是熱量消耗快造成的血糖過低?小心有可能是腦中風找上門!天冷熱量消耗快,有些人偶爾會有血糖過低造成的頭暈或是無力,但若突然頭暈到走路不穩,還並有口齒不清或單側手腳無力等症狀,很有可能不是血糖過低,而是腦中風!
梗塞型腦中風佔8成,心血管疾病患者需警惕
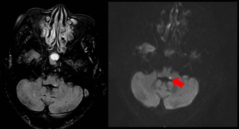
恩主公醫院神經內科朱海瑞醫師日前收治一名80歲的老婦,本身有糖尿病與高血壓,在某天起床時感到頭暈目眩,甚至想吐,家人以為是剛起床還沒吃飯血糖過低,但是後來吃完早餐後,仍覺得頭暈不適,被家人送至急診就醫,因考量到婦人80歲的高齡還有心血管病史,因此會診神經內科,透過腦部核磁共振檢查,診斷老婦人是腦幹梗塞型中風。

腦中風又分為出血型與梗塞型,約有八成是腦血管梗塞造成,一般是無預警發生,臨床症狀上大多有單側手腳無力、臉部歪斜、口齒不清等症狀,年紀、高血壓高血脂防等慢性疾病都是高危險因素。
頭暈伴隨這些症狀,當心是腦中風
朱海瑞表示,暈眩原因可分為「周邊型眩暈」以及「中樞型眩暈」,前者和耳部的前庭系統受影響有關,分為前庭神經炎、梅尼爾氏症,良性陣發性姿勢性眩暈等,這類型感到的是天旋地轉的暈,而中樞型眩暈最常見於小腦及腦幹中風患者,可能伴隨著腦中風典型狀況。
在發現急性腦中風症狀時,最重要的就是緊急爭取黃金治療期,民眾可透過「臨微不亂」四字口訣,來幫助記憶、判斷病人狀況:
• 「臨」時手腳軟:單側手腳無力,或單側舉不起手腳。
• 「微」笑也困難:臉部表情不對稱,或嘴角歪斜。
• 講話「不」清楚:口齒不清或無法表達。
• 別「亂」快送醫:看到以上其中一種徵兆,立刻記下發作時間,通知119緊急送醫。
所幸老婦人被家人發現異常狀況的時間早,及時送醫接受治療,預後狀況不錯,頭暈已經改善,精神狀況也逐漸恢復,目前也已開始嘗試做復健運動。
朱海瑞建議,本身若是高血壓或是相關慢性疾病的患者,注意定期監測及按時服藥控制慢性疾病,年長者也應注意保暖,適量運動,保持良好血液循環,另外切記「臨微不亂」,以確保身體健康,中風不來犯。
(本文由恩主公醫院提供)

