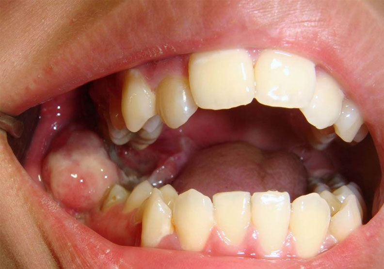
編按:小小智齒竟釀口腔癌!18歲的游同學因右下顎疼痛至牙醫診所就診,經X光檢查發現右下智齒因無法正常生長,有發炎情形。然而,拔除智齒後傷口持續悶痛並伴隨麻刺感,近兩個月之久;期間,持續接受消炎止痛治療仍未改善,最後被轉診至台北慈濟醫院,沒想到經醫師將發炎組織取樣化驗後,診斷出發炎組織已轉變為口腔癌第四期,且癌細胞涵蓋整個右下顎骨。
台北慈濟醫院牙科部顎面外科夏毅然主任表示,在診斷出游同學口腔發炎組織已轉變為口腔癌的清況下,考量游同學年齡尚輕,若直接進行手術將造成巨大傷疤,影響身心,遂由頸部下刀,翻開皮膚再切除癌變的下顎骨並截取小腿骨進行修補,術後並未在游同學的臉上留下任何疤痕,至今追蹤七年沒有復發跡象。
智齒若反覆刮傷周遭口腔黏膜,長期下來恐造成癌變
智齒又稱第三大臼齒,是門牙間隙向後算起的第8顆牙齒,生長狀況因人而異,通常會在16歲之後慢慢萌生;然而,夏毅然指出:「90%以上的智齒都需要被拔除。」
他說明,由於智齒生長在口腔最後方,又是最晚生成的牙齒,往往因生長空間不足,向前傾斜、無法正常萌發,這些長歪的智齒不具功能,且因位置的關係不易清潔,容易引發蛀牙、牙齦發炎、牙周病、蜂窩性組織炎等問題,甚至還會連帶危害周邊牙齒的健康機率高達81%以上。
且即便是沒有長歪的智齒,若無對應咬合的牙齒,也可能因過度萌發影響咬合,或是反覆刮傷周圍的口腔黏膜,長期下來會造成癌變。為了避免這些情形,牙醫師通常會建議盡早將智齒拔除,以絕後患。

拔智齒也有黃金時間?最佳年齡為16-25歲
夏毅然建議,拔智齒的最佳年齡為16-25歲,因為這個時候的智齒萌發不久,牙根尚未發展成熟、齒槽骨質也較鬆軟,較容易被拔除;但拔完牙後腫痛難免,需按醫囑定時服用消炎止痛藥。
另外,有些智齒因位置太接近神經,拔除過程不免傷及神經造成顏面麻痺,不過不會影響外觀、說話及進食,一般約1-3年即可恢復,無須過度驚慌。
嘴破、舌麻遲遲好不了?5大症狀揪口腔癌
拔完智齒若不適感持續2週以上未緩解,應尋求進一步診療
值得注意的是,雖然完全深埋在骨頭內的智齒,不會有蛀牙或發炎的風險,可暫時先不拔除,但仍有3%的機率可能轉變為囊腫,或是少部分會轉變成口腔癌,故即使沒有任何不適,也應定期接受影像學檢查。
夏毅然呼籲民眾,拔完智齒須持續觀察,若不適感持續2週以上未緩解,甚至越來越嚴重即需提高警覺,尋求進一步診療。

(本文由台北慈濟醫院提供)

 
  
 